Unsere Leistungen: Perfekte Zahntechnik für individuelle Bedürfnisse

Fest

Your content goes here. Edit or remove this text inline or in the module Content settings. You can also style every aspect of this content in the module Design settings and even apply custom CSS to this text in the module Advanced settings.

Herausnehmbar

Your content goes here. Edit or remove this text inline or in the module Content settings. You can also style every aspect of this content in the module Design settings and even apply custom CSS to this text in the module Advanced settings.

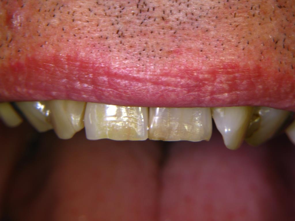
Zahnkronen und Zahnbrücken (Metall- und Vollkeramik)

Elegante Ästhetik, robuste Funktionalität

Zahnkronen und -brücken in Metall- und Vollkeramik bieten eine breite Palette an ästhetischen und funktionalen Lösungen. Ideal für Patienten, die ihre natürliche Zahnästhetik bewahren möchten, während gleichzeitig Zahnfehlstellungen korrigiert oder beschädigte Zähne wiederhergestellt werden.

Ästhetik und Funktion eingebettet in die Gesetzmäßigkeiten der Natur. Diesen Grundsatz befolgen wir bei jeder Herstellung einer keramischen Restauration. Die Zahnfarbenanalyse ist bei uns Grundvoraussetzung für die natürliche Umsetzung Ihrer neuen Zähne.

Veneers | Inlays | Onlays

Für strahlend weiße, perfekte Zähne

Veneers, Inlays und Onlays sind ästhetische Lösungen zur Verschönerung und Wiederherstellung von Zähnen. Geeignet für Patienten, die leichte Unregelmäßigkeiten, Verfärbungen oder kleinere Defekte korrigieren möchten, ohne auf eine natürliche Optik zu verzichten.

Implantate

Feste Verankerung, natürlicher Komfort
Implantate sind die ideale Lösung für Patienten mit fehlenden Zähnen. Sie bieten nicht nur eine ästhetisch ansprechende Alternative, sondern auch festen Halt und Komfort beim Kauen und Sprechen. Geeignet für jeden, der eine dauerhafte, natürliche Zahnwiederherstellung sucht.

CAD-CAM

Präzision auf höchstem Niveau
CAD-CAM-Technologie ermöglicht uns präzise digitale Planung und Herstellung von dentalen Restaurationen. Diese Technik ist ideal für Patienten, die Wert auf höchste Präzision und Passgenauigkeit legen, sei es für Kronen, Brücken oder Implantate.

Teleskoptechnik (Edelmetall / Zirkon)

Flexible Lösungen für herausragenden Tragekomfort
Die Teleskoptechnik bietet vielseitige Lösungen in Edelmetall oder Zirkon. Sie eignet sich besonders für Patienten, die eine herausnehmbare Prothese mit verbessertem Halt und Komfort wünschen. Ein individuell angepasstes Konzept für jede Anforderung.

Unter den verschiedenen Halte- und Stützvorrichtungen für eine abnehmbare Prothese oder Brücke stellt die Teleskopkrone das zweckmäßigste Befestigungselement dar. Die Überlegenheit eines mit Teleskopkronen versehenen Zahnersatzes (Teleskop-Prothese) gegenüber einer Klammerprothese beruht darauf, dass durch den teleskopierenden Anker der Zahn ganz gefasst wird und dadurch keine ziehenden und zerrenden Bewegungen des Zahnes wie bei einer Klammer auftreten können.

Wir fertigen für Sie Teleskopkronen aus Gold oder Zirkon in Verbindung mit galvanisch hergestellten Sekundärkonstruktionen.

Totalprothetik

Vollständige Zahnersatzlösungen für höchste Ansprüche

Die Behandlung eines zahnlosen Patienten ist die Aufgabe, das Gleichgewicht im Kausystem wieder herzustellen. Gesunde Verhältnisse also, die auf einer innigen Wechselbeziehung zwischen der Zahnokklusion, der Muskulatur, den Kiefergelenken und den übergeordneten Zentralnervensystem beruhen (Farbatlas der Zahnmedizin).

Unsere Totalprothetik bietet umfassende Lösungen für Patienten, die einen vollständigen Zahnersatz benötigen. Jede Prothese wird individuell angefertigt, um höchsten Tragekomfort, Ästhetik und Funktionalität zu gewährleisten.

Modellgussprothese

Stabilität und Flexibilität in einem
Die Modellgussprothese kombiniert Stabilität und Flexibilität. Geeignet für Patienten, die auf der Suche nach einer langlebigen, komfortablen und kostengünstigen Teilprothese sind.

Die vermessene, aus Kobalt-Chrom-Legierung hergestellte Modellgussprothese, ist ein angewandtes Therapeutikum im Lückengebiss. Wie jede andere Form von Zahnersatz haben Modellgussprothesen eine klar umrissene Indikation und bieten vielfältige Möglichkeiten zur Versorgung des Zahnersatzes.

Aufbissschienen

Schutz und Linderung bei Zahnproblemen

Aufbissschienen bieten Schutz vor nächtlichem Zähneknirschen und reduzieren damit Verschleiß und Beschwerden. Geeignet für Patienten, die unter Bruxismus leiden oder einfach ihren Zähnen zusätzlichen Schutz bieten möchten.

Wir stehen Ihnen zur Verfügung, um gemeinsam die beste Lösung für Ihre individuellen Bedürfnisse zu finden. Kontaktieren Sie uns für eine umfassende Beratung und erstklassige Zahntechnik.